
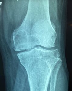
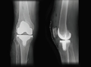
Coping with Complications: A Surgeon Perspective
In the modern age of medicine, corporations and health insurance companies exert enormous influence over care. The doctor has become a “provider,” the patient a “consumer,” and the vital physician-patient relationship has been cheapened by bureaucracy and risk management that forces us into transactional interactions.


